Ессіак
Чай "Ессіак" – відомий у всьому світі канадський оригінальний збір лікувальних трав з протипухлинними властивостями. "Ессіак" - це не тільки онкопротектор, це також відомий своєю ефективністю фітотерапевтичний засіб для застосування при інфекційно-запальних захворюваннях. «Ессіак» сприяє відновленню після хірургічних втручань та застосування токсичних ліків.
Основу для дії чаю «Ессіак» формують антрахінони - біологічно активні речовини виділені з рослин. Антрахінони відомі в фітотерапії як речовини, що володіють вираженими органопротекторними ефектами, особливо у пацієнтів з ослабленим імунітетом і онкологічними захворюваннями. Антрахінони проявляють широкий спектр фармакологічної активності: вони мають антидіабетичні, протизапальні, антибактеріальні, антиоксидантні і протипухлинні властивості. [1,2]
Лікарі з різних країн поділитися успішним досвідом застосування чаю «Ессіак» в науково-медичних журналах. У 2005 році доктор Al-Sukhni оприлюднив дані про позитивний ефект чаю «Ессіак»: він зафіксував зниження простатспецифічного антигену (PSA) у пацієнта з резистентним до терапії раком простати. В ході регулярного вживання чаю «Ессіак» PSA знизився 87.19 до 0.12 нг / мл. [3] У 2006 році доктор S.M.Zick із cпівавторами проаналізували 510 клінічних випадків раку молочної залози і спостерігали поліпшення стану пацієнток, які пили чай «Ессіак». [4]

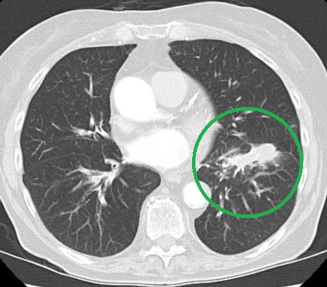
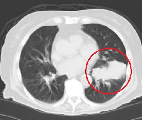
Березень 2009 Грудень 2009
Комп’ютерна томографія: зменшення пухлини у пацієнтки з недрібноклітинним раком легені.
Пацієнтка не приймала хіміотерапію і регулярно пила канадський чай «Ессіак».[5]
Дослідники з Університету Торонто (Онтаріо, Канада) і клініки радіологічної онкології Лікарні Принцеси Маргарет (Онтаріо, Канада) д-р Gladwish і д-р Clarke описали випадок зменшення пухлини легені і скорочення пухлинного ураження лімфовузлів середостіння у пацієнтки, яка не отримувала хіміотерапію, а регулярно приймала тільки чай «Ессіак». Звіт про цей унікальний випадок був опублікований в 2010 році у British Medical Journal [5]
В оглядах фітотерапії раку 2011 року згадуються інгредієнти чаю «Ессіак» як засоби що підсилюють протипухлинний імунітет [6], а в сучасних публікаціях 2019 року чай «Ессіак» розглядається як фітотерапевтичний збір, що забезпечує детоксикацію організму онкопацієнтів. [7]
1. Prateeksha; Yusuf, M.A.; Singh, B.N.; Sudheer, S.; Kharwar, R.N.; Siddiqui, S.; Abdel-Azeem, A.M.; Fernandes Fraceto, L.; Dashora, K.; Gupta, V.K. Chrysophanol: A Natural Anthraquinone with Multifaceted Biotherapeutic Potential. Biomolecules 2019, 9, 68.
2.Xing J-y, Song G-p, Deng J-p, Jiang L-z, Xiong P, Yang B-j, et al. (2015) Antitumor Effects and Mechanism of Novel Emodin Rhamnoside Derivatives against Human Cancer Cells In Vitro. PLoS ONE 10(12): e0144781.
3.Al-Sukhni W, Grunbaum A, Fleshner N. Remission of hormone-refractory prostate cancer attributed to Essiac. Can J Urol. 2005 Oct;12(5):2841-2.
4. Zick SM, Sen A, Feng Y, Green J, Olatunde S, Boon H. Trial of Essiac to ascertain its effect in women with breast cancer (TEA-BC). J Altern Complement Med. 2006 Dec;12(10):971-80.
5. Gladwish A, Clarke K, Bezjak A. Spontaneous regression in advanced non‐small cell lung cancer. BMJ Case Rep 2010. 10.1136/bcr.07.2010.3147.
6. Olaku, O.O., & White, J.D. (2011). Herbal therapy use by cancer patients: a literature review on case reports. European journal of cancer, 47 4, 508-14.
7.Stoff J. Selected Office Based Anticancer Treatment Strategies. J Oncol. 2019; 2019: 7462513.
